PATELLA BIPARTITA



June 2004 I fell on my right knee. After four months most pain was gone but something remained. Now X-ray photographs made clear that I have a 'patella bipartita', that is a patella/knee-cap that exist of two parts. I up to now did not know that! I only knew that the right patella is a mega patella.
Because pictures of a patella bipartita are difficult to find I place the pictures on the web (pictures made in 'Diaconessenhuis' in Zeist, The Netherlands). Most spectacular is viewing like this:
[small drawing]

[X-ray picture]

You see the right patella on the left, it exists of two parts and is big on the outside.



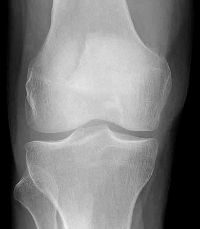
[X-ray picture]

The second X-ray picture shows the knee with the leg stretched, seen from front. The patella is the faint whitish thing with a grey split in it.
Trying to cut out the patella I got this:

[X-ray picture]



Weia Reinboud (weiatletiek (@) xmsnet.nl) (More on athletics here.)